www.lavozdeavila.com
Una buena causa prenavideña

Una buena causa prenavideña

martes 16 de septiembre de 2014, 11:07h

Escucha la noticia

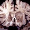
La Adrenoleucodistrofia no es una enfermedad cotidiana, pero puede ocurrirle a cualquiera. Adrián es uno de los afectados por esta enfermedad y necesita ser operado de urgencia.

¿Y si te dijeran después de seis años acudiendo a tu centro hospitalario que padeces una enfermedad que puede acabar contigo a lo largo de dos años? ¿Cuál sería nuestra actitud? Esto es lo que les ha sucedido a los padres de Abraham, un niño de seis años oriundo de Málaga, que aunque lo habían tratado desde los seis meses en la especialidad de Neurología Infantil de su hospital, no fue hasta el año pasado cuando le diagnosticaron Adrenoleucodistrofia severa infantil, un problema congénito que le llevara a un fallecimiento precoz sino se realiza un trasplante de médula ósea con urgencia en Minnesota (Estados Unidos). Ya que el Ministerio de Sanidad no puede cubrir unos gastos tan costosos y no existe tal operación en territorio nacional, la familia y otros colaboradores están creando campañas para la participación de la ciudadanía, pues necesitan recaudar la friolera cantidad de un millón de dólares (751.000€) y sus humildes retribuciones mensuales no les permiten hacerse cargo de pagar tan alta cuantía.

Ciertas voluntarias, como “las 6 ángeles de Abraham”, han comenzado a participar con solidarios eventos en el que han llegado a recaudar más de 3.000 euros en tan solo un día, pero aún no es suficiente. Si en cualquier caso, Abraham no consiguiera llegar a su amargo destino a tiempo en Estados Unidos, todo el dinero recaudado sería donado a la Asociación Española Contra La Leucodistrofia.

Página oficial http://www.unmilagroparaabraham.com/

“Abraham necesita un millón de amigos que donen un café un día”

¿Te ha parecido interesante esta noticia?    Si (0)    No(0)

+
0 comentarios